男子照X光「驚見密密麻麻白點」!醫生一問原因傻眼「怎麼這樣吃」
中國接連出現患者腦部遭寄生蟲入侵的案例,其中一名患者腦中佈滿的蟲體數量多到難以計算,連主治醫師都忍不住形容「宛如一張芝麻餅」。而進一步調查才知,最大的主因全是因為他們的飲食愛好。

(圖為示意圖/Memorial Sloan Kettering Cancer Center)
Advertisements
根據《TVBS新聞網》、《自由時報》報導,30歲的胡姓男子平日就特別喜愛螺螄和醉蝦這類食物,某次休假期間前往品嚐日式料理後,開始出現持續性頭痛症狀,這種不適感困擾他長達半個月都未見好轉。直到前往醫院接受詳細檢查,才驚覺腦部已經出現3處寄生蟲病灶。

(圖片來源:toutiao)
Advertisements
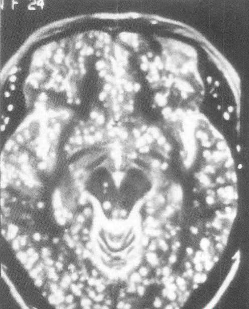
另位40多歲的張姓男子狀況更為嚴重,他因為頭部劇烈疼痛超過一個月而求診,起初只是靠服用止痛藥緩解,但後來發現即使加重劑量,藥效也愈來愈差。經過腦部掃描檢查後發現,他的腦中已經佈滿密密麻麻、難以計數的寄生蟲。醫療團隊追查病因後得知,張男長期食用僅經風乾處理、未經高溫烹煮的犛牛肉乾,導致蟲卵反覆進入體內,最終在腦部大量繁殖。

(圖片來源:紅星新聞)